
John Mew, a British orthodontist whose unconventional theories on facial growth and tooth alignment captivated a vast online audience while drawing consistent skepticism from the medical establishment, died on June 25 at his home in Heathfield, East Sussex, England. He was 96. His passing, announced by his son Mike Mew in a video tribute that was not widely reported at the time, marks the end of a life defined by a relentless challenge to orthodox dental practices, leaving behind a complex legacy that saw him hailed as a visionary by some and dismissed as a charlatan by others within the professional community.
For decades, Dr. Mew championed a paradigm shift in understanding malocclusion, or crooked teeth, positing that lifestyle and environmental factors, rather than genetics, were the primary culprits behind receding jaws and misaligned dentition. His methods, collectively known as orthotropics and including the now-globally recognized practice of “mewing,” aimed to guide facial structure towards what he considered its ancient, aesthetically ideal form. This radical departure from conventional orthodontics, which typically relies on braces and tooth extraction, placed him firmly on the fringes of his profession, yet paradoxically, at the center of a burgeoning online movement advocating for natural facial transformation.
The influence of Dr. Mew’s ideas extended far beyond the clinical setting, permeating digital subcultures and igniting fervent discussions about health, beauty, and self-improvement. His work resonated particularly with those seeking non-surgical alternatives for facial restructuring, attracting millions of views on platforms like YouTube and TikTok. This widespread embrace by the public, juxtaposed against staunch disapproval from established medical bodies, underscores the divisive nature of his contributions and the significant impact he had on both professional discourse and popular health trends, a dichotomy that persisted until his final days.

1. **The Passing of an Unorthodox Visionary: John Mew’s Death at 96**John Roland Chandley Mew, a figure whose career was as notable for its controversies as its innovations, passed away on June 25, 2025, at the advanced age of 96. His death occurred at his distinctive residence, a moated castle nestled in Heathfield, East Sussex, England, which he and his wife meticulously constructed between 1993 and 1999. This unique dwelling, featured on the Channel 4 television programme Britain’s Best Home, stood as a physical embodiment of his individualistic spirit, a trait that also defined his professional life.
The announcement of his death, coming from his son and professional partner, Mike Mew, in a video tribute, was not widely reported at the time. This detail is illustrative of the somewhat independent and often internet-driven nature of his considerable influence, especially in recent years when his theories found a global digital audience. Mike Mew, in his poignant tribute, succinctly captured the polarized perceptions that his father’s work consistently generated throughout his long and impactful career, observing: “To many he was a genius, a visionary,” yet adding, “But he was also considered a heretic and a charlatan in equal proportions.”
Dr. Mew’s final resting place within a self-built castle served as a powerful metaphor for his professional trajectory. Just as he created a unique dwelling that stood apart from conventional architecture, he also constructed an entire philosophical and practical framework within orthodontics that defied mainstream conventions and was often met with resistance. His life was a testament to his steadfast conviction in his theories, even in the face of widespread scientific skepticism and significant professional repercussions, making his passing a crucial moment for reflection on his singular contributions to the enduring debate on facial growth and dental health.

2. **Challenging Orthodontic Dogma: Mew’s Environmental Theory of Malocclusion**At the core of John Mew’s unorthodox approach was a fundamental disagreement with mainstream orthodontics regarding the etiology of crooked teeth and misaligned jaws. Conventional dental wisdom largely attributes malocclusion primarily to genetics, suggesting that inherited traits are the predominant factors dictating facial and dental development. Dr. Mew, however, advanced a radically different hypothesis, firmly arguing that environmental and lifestyle changes since the 18th century, rather than hereditary predispositions, were the true culprits behind what he observed as a widespread degradation of human facial structure.
He theorized that a pervasive shift towards softer, more processed foods in modern diets contributed significantly to weakened jaw muscles, thereby hindering proper jaw development. Furthermore, he explicitly linked the accelerating move into increasingly polluted urban environments to a rise in allergies among populations, which in turn, he contended, caused individuals to predominantly inhale through their mouths instead of their noses. Dr. Mew posited that this sustained mouth breathing during critical developmental stages warped the growth of the jaws, preventing them from developing sufficiently forward and wide, ultimately leading to crowded teeth and noticeable recessed facial profiles.
This “tropic premise,” which presented malocclusion as a “postural deformity” rather than an inherited condition, was first published by Dr. Mew in The British Dental Journal in 1981, marking a bold intellectual challenge to established scientific thought. It posited that overcrowded teeth were not necessarily inherited, and consequently, malocclusion could be largely avoided with early intervention to correct poor oral posture and function. This offered a hopeful, albeit highly contested, vision for facial health that contrasted sharply with the prevailing medical consensus, which had long emphasized genetic determinism in such conditions.

3. **Orthotropics: The “Cause and Cure” for Degraded Faces**Evolving directly from his environmental theory of malocclusion, John Mew developed a comprehensive system of intervention he termed orthotropics, a concept rooted in the principle of “correct growth.” This innovative approach was designed not merely to achieve dental alignment, but to fundamentally alter and guide the entire facial structure. The ambitious goals of orthotropics included expanding jaws and dental arches, increasing essential tongue space within the mouth, and ultimately enhancing overall facial aesthetics, moving beyond the superficial to address underlying structural development.
The practical application of orthotropics involved several interconnected components. Children undergoing treatment were actively encouraged to chew harder, unprocessed foods to strengthen their jaw muscles, a direct response to his theory about soft diets. A specialized intra-oral appliance, known as the Biobloc system, was introduced, designed to gently move the upper jaw and teeth forward. This appliance was ingeniously engineered to make it uncomfortable for children to habitually drop their lower jaw down or back, effectively training them to maintain a forward and upward facial posture that Dr. Mew believed mirrored the robust facial development of “ancient ancestors.”
Mike Mew provided further insight into the historical perspective of this method, explaining in an email that the objective was “getting children back to where they would have been at around 200 years or so ago, and then teaching them to stand up straight with their lips together.” Dr. Mew was convinced that this meticulous process could reverse the perceived degradation of modern faces, which he argued resulted in features such as receding chins, prominent bags under the eyes, and seemingly enlarged noses, all of which he vowed to ameliorate and correct through his innovative growth guidance techniques.

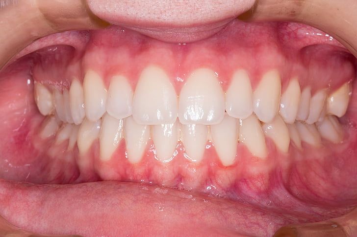
4. **Mewing: The Tongue Posture Technique That Went Viral**Central to the orthotropics philosophy, and perhaps the most widely recognized and globally adopted component of John Mew’s extensive work, is the deceptively simple technique known as “mewing.” This practice involves consciously and consistently pressing the entire dorsum of the tongue against the roof of the mouth for extended periods, ideally for as long as eight hours a day. Mike Mew provided clarity on the pervasive nature of this exercise, stating that mewing should be diligently performed “all the time that you are not actively chewing, talking or processing,” underscoring its intended integration into daily life.
The fundamental premise behind mewing posits that proper tongue posture exerts a subtle but continuous outward and upward force on the upper jaw, or maxilla. In growing children, Dr. Mew believed this consistent pressure could effectively and naturally expand the upper jaw laterally, preventing the undesirable downward and backward growth often associated with poor facial development. This, in turn, was theorized to promote a more forward-developed and aesthetically pleasing facial profile, with improved airway function.
For adults, while the claims for significant structural change are even more contentious and debated within the scientific community, the practice of mewing experienced an explosive rise in popularity through social media platforms. Videos demonstrating the technique, often featuring dramatic yet scientifically unsubstantiated before-and-after transformations, garnered millions, even billions, of views. This widespread online surge transformed a niche orthodontic concept into a global internet phenomenon, highlighting the public’s eagerness for non-invasive and accessible methods to achieve perceived beauty standards, often irrespective of rigorous mainstream medical validation.

5. **”Saving the Face”: Beyond Straightening Teeth to Redefine Beauty**John Mew’s vision for dentistry transcended the mere mechanical alignment of teeth; his ultimate and more ambitious aim, as perceptively captured by William Brennan in The New York Times Magazine in 2020, was to “‘save the face.'” He was a staunch critic of traditional orthodontists, believing that by focusing predominantly on straightening teeth, they often overlooked or, in some cases, even exacerbated underlying facial structural issues. For Dr. Mew, the holistic aesthetic outcome of the entire face was paramount, and he confidently maintained that his orthotropic methods could transform what he termed “ugly faces into good-looking ones.”
This profound focus on overall facial aesthetics was intricately woven into his theory of an idealized ancient human face, which he characterized by well-defined features, broad arches, and forward-grown jaws. He frequently lamented that modern lifestyles, with their soft diets and mouth breathing habits, had “robbed not only of tidy smiles” but also of “the well-defined faces that were the birthright of our ancient ancestors, and which Mew regards as the mark of true beauty.” His treatments were thus presented as a profound means to reclaim this ancestral birthright, promising not just healthier bites but also significantly improved facial harmony, balance, and perceived attractiveness, which he believed were intrinsically linked.
Indeed, Dr. Mew’s assertions were notably bold, exemplified by his claim that “every single face treated with orthotropics will be good-looking,” a statement that underscored his unwavering confidence in his methods to guide optimal facial growth. This unwavering emphasis on comprehensive aesthetic transformation, coupled with his outspoken critique of what he considered the limitations of conventional orthodontic practices, helped to firmly distinguish orthotropics and mewing in a crowded field, appealing particularly to individuals who sought a more holistic and fundamental approach to facial development rather than merely a cosmetic dental fix.

6. **The Medical Establishment’s Rejection: A Battle Over Scientific Evidence**Despite the fervent and widespread online enthusiasm for John Mew’s methods, the mainstream medical and dental establishment remained largely unconvinced by his claims, consistently dismissing his theories due to a perceived and critical lack of robust scientific evidence. Traditional orthodontists, whose practices are built upon empirically proven techniques like tooth extraction, braces, and various other corrective devices, stood in stark opposition to Mew’s fundamental assertions, particularly his radical rejection of genetics as the primary cause of malocclusion. This created a profound and enduring schism within the professional community.
Prominent critics, such as Kevin O’Brien, an emeritus professor of orthodontics at the University of Manchester, effectively articulated the scientific community’s deep-seated skepticism. Writing on his blog, Professor O’Brien unequivocally stated, “There is no mainstream scientific evidence on facial growth in adults that supports the concepts behind ‘mewing.’” He further questioned the biomechanical plausibility of the technique, adding a critical query: “Furthermore, when I apply what I know about craniofacial growth, it’s difficult for me to understand how holding your tongue on the top of your mouth can change the position of facial bones,” highlighting the theoretical inconsistencies from an anatomical perspective.
The core of the professional disagreement ultimately lay in the pervasive absence of rigorous, peer-reviewed, and evidence-based studies conclusively supporting the efficacy of orthotropics and mewing as viable treatments. While some dentists acknowledged that Mew’s theories “generate some plausible conclusions that can aid our profession in developing future surgical procedures,” as noted by Urie K. Lee, Lindsay L. Graves and Arthur H. Friedlander in The Journal of Oral and Maxillofacial Surgery in 2019, they emphatically warned that “the public needs to be made aware that it is not based on sound scientific evidence that would make it a viable alternative treatment to orthognathic surgery.” This enduring schism underscores the fundamental divide between an empirically driven medical field and an approach that, while popular and widely discussed, largely lacked the rigorous validation demanded by mainstream science.

7. **The Licensing Battles: Confrontations with the General Dental Council**John Mew’s unwavering conviction led to significant professional repercussions, culminating in the revocation of his dental license by the General Dental Council (GDC) in Britain in 2017. At 89, he faced this sanction after publishing an advertisement that accused conventional orthodontists of perpetrating an “illegal scam,” a direct challenge to the profession’s integrity.
This revocation was the culmination of escalating friction. As early as 2010, the GDC had reprimanded him for misleading advertisements and falsely alleging GDC acceptance of his reports. Mew, however, saw these investigations as efforts to suppress his theories, embracing the role of a “whistleblower.”
When appealing the 2017 revocation, Dr. Mew staunchly refused to admit culpability or make concessions. This resolute defiance, emblematic of his self-image as a latter-day Galileo, meant he “got nowhere” with the GDC, as his son Mike Mew recounted. Despite losing his license, he reportedly continued to advise dentists and orthodontists, remaining active on social media.
His professional struggles underscored a central theme: a tireless challenge to institutional authority. Mew’s insistence on his perspective, even with severe consequences, cemented his reputation as a principled maverick, deepening the divide between his movement and the orthodox medical establishment. Allegations also extended to treatment without consent and failing to protect personal information.

8. **Mike Mew’s Role and Professional Suspension**The legacy and controversies surrounding John Mew extended directly to his son, Mike Mew, both his business partner and a fellow orthodontist. Mike Mew often served as a public face for orthotropics and mewing in YouTube videos that went viral. His poignant tribute after his father’s death acknowledged the polarized perceptions: “a genius, a visionary,” yet also “a heretic and a charlatan in equal proportions.”
Mike Mew’s commitment to advancing his father’s theories led to his own professional sanctions. He was expelled from the British Orthodontic Society in 2019 for continuing to promote orthotropic principles, highlighting the deep professional schism and the establishment’s stance against unsupported methodologies.
More recently, Mike Mew’s dental license was suspended for alleged misconduct involving his treatment of two children. While specific details were not provided, this suspension highlights the continued regulatory scrutiny faced by orthotropic champions. Mike Mew is appealing this decision, illustrating the enduring battle he, like his father, has waged against the conventional dental establishment.
His continued registration with the GDC, despite suspension, indicates an ongoing legal and professional struggle. The intertwining fates of father and son, both facing significant challenges due to their shared commitment, illustrate the generational nature of this contentious movement. Mike Mew publicly asserted his father’s theories were “treated badly by the profession.”

9. **Published Works and Documentary Appearances**Despite persistent skepticism, John Mew diligently documented his theories through various publications. His most notable work, “The Cause and Cure of Malocclusion,” a self-published book from 2013, expounded his controversial ideas. Its cover boldly featured “eppur si muove” — “and yet it still moves” — referencing Galileo, embodying Mew’s self-perception as a persecuted visionary.
This book articulated the “tropic premise,” arguing malocclusion was a postural deformity. While his theories appeared in *The British Dental Journal* in 1981, critics demanded rigorous, evidence-based studies in peer-reviewed journals. However, Mew largely restricted his contributions to “philosophical overviews,” a major reason for mainstream rejection.
In a contemporary medium, John Mew and his son Mike were subjects of “Open Wide,” a 2024 Netflix documentary. This provided a broad audience a deeper look into their lives and the mewing phenomenon. Such a platform, though not a scientific forum, significantly amplified their story and cemented their place in popular culture, fostering widespread awareness.
The visibility gained enabled Mew to reach diverse audiences. However, as noted in *The Journal of Oral and Maxillofacial Surgery* in 2019, while Mew’s theory “does generate some plausible conclusions,” the public needed awareness that it was “not based on sound scientific evidence that would make it a viable alternative treatment to orthognathic surgery.”
Read more about: From Sitcom Stars to Hollywood Legacies: What the Iconic Cast of ‘Everybody Loves Raymond’ Is Up To Today

10. **A Life Beyond Dentistry: Racing, Sailing, and Castle Building**John Mew’s singular focus on orthodontics was just one facet of a remarkably adventurous and multifaceted life. In his younger years, he was a true “swashbuckling sportsman,” engaging in diverse competitive pursuits. From 1957 to 1967, he actively participated in motor racing, initially in Formula Three before advancing to Formula One, twice breaking the club circuit record at Brands Hatch in 1963, surpassing times set by Jim Clark and John Surtees. He also flew a Gypsy Moth.
His athletic endeavors extended to the high seas, earning him selection for the British Team in the 1958 America’s Cup challenge, though he did not compete. In 1971, he crewed for John Prentice, captain of the British International 14 dinghy racing team, where Britain placed second. Mew and his crew also secured second place at an International 14 World Championships anniversary event. He even represented Great Britain in downhill skiing, underscoring his diverse athletic talents.
Perhaps the most striking manifestation of his unconventional spirit was his personal residence: Braylsham Castle. Between 1993 and 1999, Mew and his wife, Josephine, meticulously constructed this moated castle in Sussex. This extraordinary dwelling, with a moat, dungeon, minstrels’ gallery, secret passageways, and a drawbridge, was featured on Channel 4’s “Britain’s Best Home,” serving as a powerful metaphor for a life that defied conventional architecture.
These pursuits paint a picture of a man driven by ambition, a desire to excel, and profound individuality. Whether breaking speed records, navigating waters, or building a medieval home, John Mew approached life with the same independent and pioneering spirit that defined his controversial career, embodying a person unwilling to be confined by traditional boundaries.

11. **Family Background and Early Influences**John Roland Chandley Mew’s formative years offered glimpses into the intellectual curiosity and independent spirit that would later define his professional trajectory. Born on September 7, 1928, in Tunbridge Wells, England, he came from a family with professional roots in dentistry; his father, Gordon Mew, was a dental surgeon. This provided an early, albeit orthodox, introduction to the field he would later radically challenge.
His mother, Joyce (Chandley) Mew, played an equally significant role. She was the chairwoman of the populist British Housewives League, demonstrating a formidable spirit of protest. She and three other women famously burned their ration books in front of the House of Commons in 1951, defying the British government’s continuation of food rationing. This act of public dissent likely instilled in young John Mew an understanding of challenging authority.
After early education, John Mew pursued a dental degree at University College London, graduating in 1953. This formal training equipped him with foundational knowledge, though he would diverge significantly from its conventional tenets. He further specialized in orthognathic surgery at Queen Victoria Hospital in 1956, gaining deep insight into surgical approaches to jaw correction, which he would ultimately critique.
Throughout his life, John Mew remained connected to his family. He is survived by his three children: Mike Mew, William Mew, and Rosie Rinker, along with seven grandchildren and a brother, Peter. His wife, Josephine (Rankine) Mew, who shared in his adventurous spirit and helped build their unique castle home, passed away in 2013.
Read more about: From Ancient Origins to Global Significance: A Comprehensive Journey Through the Enduring Legacy of the Letter ‘D’

12. **Genesis of a Theory: Museum Studies and Maxillary Focus**John Mew’s radical departure from mainstream orthodontic thought stemmed from years of observation and questioning established wisdom. After graduating and specializing in orthognathic surgery, he embarked on crucial research: examining jaw specimens in museums. He concluded that modern misaligned bites did not appear to exist hundreds of years ago.
This historical observation became the cornerstone of his environmental theory of malocclusion. If ancient jaws were universally well-aligned, he reasoned, then widespread crooked teeth and recessed jaws in contemporary society could not primarily be genetic. Instead, he posited that modern lifestyle changes, particularly since the 18th century, were the causative factors.
His investigation led him to focus intensely on the upper jaw, or maxilla, believing it key to overall facial development. Dr. Mew surmised that any deficiency in the lower jaw, or mandible, was a secondary consequence of an upper jaw issue. William Brennan, in *The New York Times Magazine*, captured Mew’s explanation: “If the maxilla doesn’t grow forward or wide enough, the mandible adjusts backward and down, so that the chin recedes and the face appears to lengthen.”
Crucially, John Mew tested his theories on his own children throughout the 1970s. His middle son, Mike Mew, who would become his professional partner, emerged as the prime “success story.” Mike developed a “square, sturdy lantern jaw,” which he attributed to his father’s early intervention methods, providing anecdotal testimony to orthotropic principles.

13. **The Enduring Legacy and Contested Evidence**John Mew’s death at 96 closed a life marked by an unwavering commitment to his unorthodox vision, leaving a legacy as complex as it was controversial. Despite consistent dismissal and license revocation, his ideas gained unprecedented online traction, transforming a niche concept into a global phenomenon. His self-built moated castle symbolized a man who constructed a philosophy defiantly apart from conventional wisdom.
The enduring debate revolved around the scientific rigor of his claims. While he argued for the profound impact of environmental factors and oral posture, the medical community demanded robust, peer-reviewed studies to validate his methods. This crucial gap in scientific validation remained a persistent hurdle. William Brennan’s anecdote about Mew refusing to show patient photos – Mew stating, “What would be the point? If someone doesn’t look good, I’ll just say they didn’t comply; and if they do look good, I’ll just say they did” – encapsulates the challenge in objective assessment.
This anecdote, while illuminating Mew’s confident belief, also highlighted difficulties in independently verifying his claimed successes. For followers, it reinforced his anti-establishment stance. For critics, it underscored the lack of transparent, verifiable data fundamental to scientific acceptance, leaving his claims largely in the realm of anecdotal evidence.
Ultimately, John Mew’s legacy is a testament to the power of a compelling narrative offering alternative solutions. He identified a widespread aesthetic concern and proposed a natural, non-surgical pathway. His impact extends beyond dentistry, influencing broader discussions about health, beauty, and self-improvement in the digital age, proving that even in death, his provocative ideas continue to resonate and inspire discussion, solidifying his place as a unique and divisive figure.
Read more about: Why James Cameron Still Grapples with One Major Regret from His Magnum Opus, ‘Titanic’
As the curtain falls on the remarkable life of John Mew, his journey from an outlier in British dentistry to a global internet sensation reflects more than just an individual’s defiance; it speaks to a profound cultural yearning for natural solutions and aesthetic improvement, often sought beyond the confines of established medical authority. His legacy, therefore, is not merely etched in the annals of orthodontic debate but continues to shape online discourse, compelling us to ponder the intricate relationship between health, beauty, and the powerful, often unchecked, influence of viral ideas in our interconnected world. His work, while deeply controversial, undeniably sparked a conversation that continues to evolve, proving that some ideas, once set in motion, can indeed move the world, even if the scientific community remains firmly rooted in its place.